当前位置:首页医卫类执业医师公共卫生执业医师->患者,男性,60岁。清晨睡醒后左侧肢体无力,刷牙时无法拿杯,

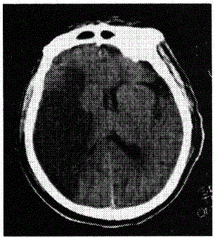
患者,男性,60岁。清晨睡醒后左侧肢体无力,刷牙时无法拿杯,有糖尿病和高血压病史无心脏病史,半天后急诊。查体:左侧肢体肌力3级,腱反射高于右侧,左侧Babinski征阳性。左侧肢体痛温觉减退。脑CT见图示:可能的诊断为

  • A.脑转移癌
  • B.脑栓塞
  • C.短暂性脑缺血发作
  • D.脑血栓形成
  • E.高血压性脑出血
查看答案 纠错
答案: D
本题解析:

本题考查目的是综合临床资料和CT图像作出脑血管的诊断。从上题的脑缺血性卒中与脑出血性卒中的鉴别要点表中很容易得出标准答案D脑血栓形成。短暂性脑缺血发作的体征一般1~2小时恢复,而且以单肢瘫等局限体征为多见。CT图像上一般没有梗死灶。脑栓塞一般在活动状态下,数秒钟即出现明显脑症状,大多数患者有房颤等栓塞灶的来源。这些均与本例不符合,故缺血后卒中以脑血栓形成为正确答案。

更新时间:2021-07-31 06:10

你可能感兴趣的试题

单选题

参与一碳单位代谢的维生素是

  • A.维生素B<img src='http://tp.mxqe.com/data/848/13896772_0.gif' alt='军队文职医学类基础综合,真题专项训练,生物化学与分子生物学' title='军队文职医学类基础综合,真题专项训练,生物化学与分子生物学'>
  • B.维生素B<img src='http://tp.mxqe.com/data/848/13896772_0_1.gif' alt='军队文职医学类基础综合,真题专项训练,生物化学与分子生物学' title='军队文职医学类基础综合,真题专项训练,生物化学与分子生物学'>
  • C.维生素PP
  • D.叶酸
  • E.泛酸
查看答案
单选题

转氨酶的辅酶是

  • A.磷酸吡哆醛
  • B.焦磷酸硫胺素
  • C.生物素
  • D.四氢叶酸
  • E.泛酸
查看答案
单选题

紫外线对DNA的损伤主要是引起

  • A.碱基缺失
  • B.碱基插入
  • C.碱基置换
  • D.嘧啶二聚体形成
  • E.磷酸二酯键断裂
查看答案
单选题

参与氧化脱氨的维生素是

  • A.维生素B<img src='http://tp.mxqe.com/data/848/13896773_0.gif' alt='军队文职医学类基础综合,真题专项训练,生物化学与分子生物学' title='军队文职医学类基础综合,真题专项训练,生物化学与分子生物学'>
  • B.维生素B<img src='http://tp.mxqe.com/data/848/13896773_0_1.gif' alt='军队文职医学类基础综合,真题专项训练,生物化学与分子生物学' title='军队文职医学类基础综合,真题专项训练,生物化学与分子生物学'>
  • C.维生素PP
  • D.叶酸
  • E.泛酸
查看答案
单选题

参与转氨基的维生素是

  • A.维生素B<img src='http://tp.mxqe.com/data/848/13896774_0.gif' alt='军队文职医学类基础综合,真题专项训练,生物化学与分子生物学' title='军队文职医学类基础综合,真题专项训练,生物化学与分子生物学'>
  • B.维生素B<img src='http://tp.mxqe.com/data/848/13896774_0_1.gif' alt='军队文职医学类基础综合,真题专项训练,生物化学与分子生物学' title='军队文职医学类基础综合,真题专项训练,生物化学与分子生物学'>
  • C.维生素PP
  • D.叶酸
  • E.泛酸
查看答案
单选题

下列关于原癌基因的叙述正确的是

  • A.只要有就可以引起癌症
  • B.存在于正常细胞中
  • C.只对细胞有害,而无正常功能
  • D.不为细胞因子编码
  • E.总是处于活化状态
查看答案
单选题

男性,发现乙肝2年,出现乏力,腹胀,食欲不振,病情不稳定,查体:慢性肝病容,肝肋下触及1.0cm,质中等,脾界扩大,血清ALT200U/L,白蛋白35g/L,球蛋白36g/L,应诊为

  • A.慢性迁延性肝炎
  • B.慢性活动性肝炎
  • C.慢性重型肝炎
  • D.肝硬化
  • E.淤胆型肝炎
查看答案
单选题

男性,20岁,发热起病3天后,自行缓解,高度乏力,腹胀,黄疸进行加深,病程第9天出现躁动,神志不清,重度黄疸,肝界缩小,应诊断为

  • A.急性黄疸型肝炎
  • B.急性重型肝炎
  • C.亚急性重型肝炎
  • D.慢性重型肝炎
  • E.中毒性肝炎
查看答案
单选题

细菌性痢疾病理改变的部位是

  • A.盲肠
  • B.回肠末端
  • C.直肠和乙状结肠
  • D.升结肠
  • E.降结肠
查看答案
单选题

煮沸消毒法的应用,错误的是

  • A.可使刀刃锋利性受损
  • B.适用于耐热、耐温物品
  • C.杀灭乙肝病毒,应煮沸30分钟
  • D.消毒时间自浸入开始计算,一般15~20分钟
  • E.加入2%碳酸氢钠,可缩短消毒时间
查看答案