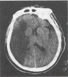
男,60岁。清晨睡醒后左侧肢体无力,刷牙时无法拿杯,有糖尿病和高血压病史无心脏病史,半天后急诊。查体:左侧肢体肌力3级,腱反射高于右侧,左侧Babins-ki征阳性。左侧肢体痛温觉减退。脑CT见下图:

可能的诊断为
本题考查目的是综合临床资料和CT图像作出脑血管的诊断。从上题的缺血性卒中与出血性卒中的鉴别要点表中很容易得出标准答案D脑血栓形成。短暂性脑缺血发作的体征一般1~2小时恢复,而且以单肢瘫等局限体征为多见。CT图像上一般没有梗死灶。脑栓塞一般在活动状态下,数秒钟即出现明显脑症状,大多数患者有房颤等栓塞灶的来源。这些均与本例不符合,故缺血后卒中以脑血栓形成为正确答案。
参与一碳单位代谢的维生素是
转氨酶的辅酶是
紫外线对DNA的损伤主要是引起
参与氧化脱氨的维生素是
参与转氨基的维生素是
下列关于原癌基因的叙述正确的是
男性,发现乙肝2年,出现乏力,腹胀,食欲不振,病情不稳定,查体:慢性肝病容,肝肋下触及1.0cm,质中等,脾界扩大,血清ALT200U/L,白蛋白35g/L,球蛋白36g/L,应诊为
男性,20岁,发热起病3天后,自行缓解,高度乏力,腹胀,黄疸进行加深,病程第9天出现躁动,神志不清,重度黄疸,肝界缩小,应诊断为
细菌性痢疾病理改变的部位是
煮沸消毒法的应用,错误的是