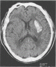
男,52岁。清晨锻炼时觉头痛,左侧肢体麻木和乏力,有高血压病史,半天后急诊。查体:嗜睡,右侧肢体肌力3级,腱反射高于左侧,右侧Babinski征阳性。脑CT见图示:

可能诊断为
本题考查目的是综合临床资料和CT图像作出脑血管病的诊断。本病例为急性起病的脑血管疾病。脑血管病分为缺血性卒中和出血性卒中。脑血栓形成、短暂脑缺血发作、脑栓塞均为缺血性卒中范畴;高血压性脑出血为出血性卒中;根据缺血性卒中和出血性卒中的鉴别诊断表(见下表),可以得出B"高血压性脑出血"为正确答案。脑转移癌起病较慢,而且CT的病灶周围有大片水肿,为迷惑选项。

参与一碳单位代谢的维生素是
转氨酶的辅酶是
紫外线对DNA的损伤主要是引起
参与氧化脱氨的维生素是
参与转氨基的维生素是
下列关于原癌基因的叙述正确的是
男性,发现乙肝2年,出现乏力,腹胀,食欲不振,病情不稳定,查体:慢性肝病容,肝肋下触及1.0cm,质中等,脾界扩大,血清ALT200U/L,白蛋白35g/L,球蛋白36g/L,应诊为
男性,20岁,发热起病3天后,自行缓解,高度乏力,腹胀,黄疸进行加深,病程第9天出现躁动,神志不清,重度黄疸,肝界缩小,应诊断为
细菌性痢疾病理改变的部位是
煮沸消毒法的应用,错误的是