当前位置:首页 → 医卫类 → 卫生招聘考试 → 卫生招聘(耳鼻喉科汇总)->女,56岁,右侧中耳术后发现右外耳道新生物一年,PE:右外耳
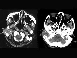
女,56岁,右侧中耳术后发现右外耳道新生物一年,PE:右外耳道内段被新生物充满,CT如图所示,应诊断为 ( )



常作为颅中窝底硬脑膜平面的颅外标志( )
确定面神经垂直段的重要标志( )
乳突手术时确定鼓窦位置的重要标志( )
鼓膜松弛部附着处( )
由第Ⅴ对脑神经下颌支支配 ( )
由喉返神经支配( )
面神经支配( )
鼻咽纤维血管瘤( )
鼻咽癌( )
腺样体肥大( )