当前位置:首页 → 医卫类 → 卫生招聘考试 → 卫生招聘(耳鼻喉科汇总)->男,65岁,左眼球突出近一年,鼻涕带血,面颊部隆起,同时面颊
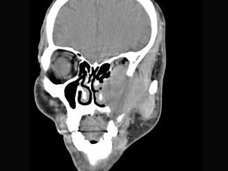
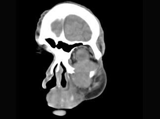
男,65岁,左眼球突出近一年,鼻涕带血,面颊部隆起,同时面颊部有麻木感,CT检查如图,最可能诊断为 ( )




常作为颅中窝底硬脑膜平面的颅外标志( )
确定面神经垂直段的重要标志( )
乳突手术时确定鼓窦位置的重要标志( )
鼓膜松弛部附着处( )
由第Ⅴ对脑神经下颌支支配 ( )
由喉返神经支配( )
面神经支配( )
鼻咽纤维血管瘤( )
鼻咽癌( )
腺样体肥大( )