当前位置:首页医卫类卫生招聘考试卫生招聘(耳鼻喉科汇总)->女,16岁,鼻塞、流涕一年余,失去嗅觉,影像检查如图所示,最

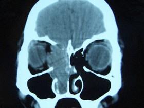
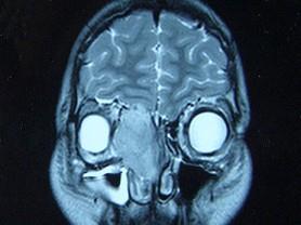
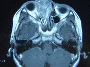
女,16岁,鼻塞、流涕一年余,失去嗅觉,影像检查如图所示,最可能的诊断是 ( )

卫生招聘(耳鼻喉科汇总),章节练习,基础复习,鼻科学

卫生招聘(耳鼻喉科汇总),章节练习,基础复习,鼻科学

卫生招聘(耳鼻喉科汇总),章节练习,基础复习,鼻科学

卫生招聘(耳鼻喉科汇总),章节练习,基础复习,鼻科学

  • A.鼻腔乳头状瘤
  • B.筛窦癌
  • C.小唾液腺癌
  • D.恶性淋巴瘤
  • E.嗅神经母细胞瘤
答案: E
本题解析: 暂无解析
更新时间:2022-01-07 07:57
纠错

你可能感兴趣的试题

单选题

常作为颅中窝底硬脑膜平面的颅外标志( )

  • A.颞线
  • B.鼓切迹
  • C.二腹肌嵴
  • D.弓状隆起
  • E.道上三角区
查看答案
单选题

确定面神经垂直段的重要标志( )

  • A.颞线
  • B.鼓切迹
  • C.二腹肌嵴
  • D.弓状隆起
  • E.道上三角区
查看答案
单选题

乳突手术时确定鼓窦位置的重要标志( )

  • A.颞线
  • B.鼓切迹
  • C.二腹肌嵴
  • D.弓状隆起
  • E.道上三角区
查看答案
单选题

鼓膜松弛部附着处( )

  • A.颞线
  • B.鼓切迹
  • C.二腹肌嵴
  • D.弓状隆起
  • E.道上三角区
查看答案
单选题

由第Ⅴ对脑神经下颌支支配 ( )

  • A.环甲肌
  • B.镫骨肌
  • C.腭帆张肌
  • D.腭帆提肌
  • E.杓间肌
查看答案
单选题

由喉返神经支配( )

  • A.环甲肌
  • B.镫骨肌
  • C.腭帆张肌
  • D.腭帆提肌
  • E.杓间肌
查看答案
单选题

面神经支配( )

  • A.环甲肌
  • B.镫骨肌
  • C.腭帆张肌
  • D.腭帆提肌
  • E.杓间肌
查看答案
单选题

鼻咽纤维血管瘤( )

  • A.鼻出血
  • B.头痛
  • C.两者均有
  • D.两者均无
查看答案
单选题

鼻咽癌( )

  • A.鼻出血
  • B.头痛
  • C.两者均有
  • D.两者均无
查看答案
单选题

腺样体肥大( )

  • A.鼻出血
  • B.头痛
  • C.两者均有
  • D.两者均无
查看答案