当前位置:首页 → 医卫类 → 卫生招聘考试 → 卫生招聘(耳鼻喉科汇总)->女性,41岁,鼻腔流脓涕3年,鼻部面部肿胀1年,近来加重,M
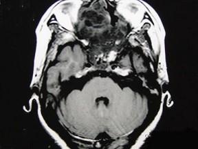
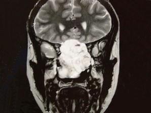
女性,41岁,鼻腔流脓涕3年,鼻部面部肿胀1年,近来加重,MRI检查如图,请选择最可能诊断 ( )




常作为颅中窝底硬脑膜平面的颅外标志( )
确定面神经垂直段的重要标志( )
乳突手术时确定鼓窦位置的重要标志( )
鼓膜松弛部附着处( )
由第Ⅴ对脑神经下颌支支配 ( )
由喉返神经支配( )
面神经支配( )
鼻咽纤维血管瘤( )
鼻咽癌( )
腺样体肥大( )